CHICAGO (WLS) — In a significant move to combat lung cancer, Northwestern Medicine is inaugurating a state-of-the-art lung health center aimed at facilitating earlier detection of the disease.
This initiative follows a revealing study indicating a troubling trend: lung cancer increasingly affects younger women and individuals who have never smoked.
ABC7 Chicago is now streaming 24/7. Click here to watch
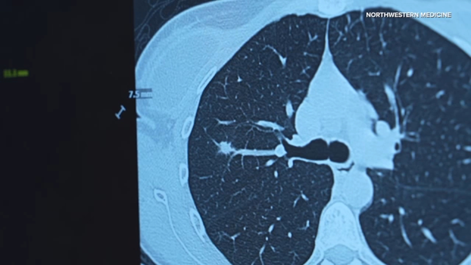
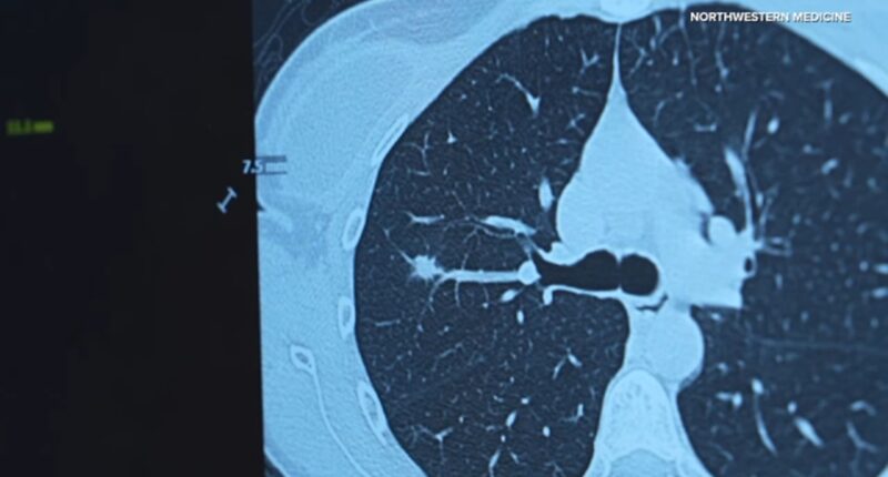
Experts at Northwestern Medicine have highlighted a concerning statistic—nearly 80% of lung cancer diagnoses occur only after the disease has progressed to advanced stages. The medical team advocates for lowering the screening age, suggesting that earlier detection could dramatically improve survival rates.
Danielle Hoeg, a patient, shared her unexpected diagnosis. “I had no symptoms,” she recounted. “I believed I was healthy, I stay active, and I don’t smoke.”
Despite her healthy lifestyle, Hoeg was diagnosed with lung cancer.
“Whenever I see a young woman walking by, I wonder if she might have lung cancer too,” Hoeg reflected. “I feel compelled to urge them to get screened to ensure their health isn’t compromised.”
According to the U.S. Preventive Services Task Force of nearly 1,000 consecutive patients treated for lung cancer at Northwestern, researchers discovered only 35% would have qualified for screening.
It’s why Northwestern Medicine is helping to expand low dose CT screening by launching a comprehensive lung health center to detect lung, heart and bone conditions earlier.
“If we extend the screening from 40 years onwards, and go away from risk-based screening, we could really capture most lung cancer at early stage,” Dr. Ankit Bharat with the Lung Cancer Center said.
Dr. Bharat said the current recommendation for an annual lung cancer screening is for adults 50 and up who are smokers or have quit in the last 15 years.
He said their research has found current recommendation excludes two thirds of patients.. Disproportionately impacting women and non-smokers. Changing the recommendation to an earlier age, he said, will save lives.
“We can achieve our goal of detecting lung cancer at an early stage, more than 80% of the time, if that model was followed,” Dr. Bharat said.
“Continuously think about how lucky I was, and I need other women, other young people, to have the same luck I did,” Hoeg said.
Northwestern Medicine said their early lung screening scan takes less than 10 seconds and doesn’t need any dyes but does provide a complete picture of the chest cavity, creating a baseline image patients can keep for life.
Unfortunately, their screening recommendation is not universal, so any lung cancer screening for non-smokers under 50 would likely be out of pocket. However, the Lung Health Center at Northwestern does offer free screenings.
















